Abstract
Introduction. Tumor microenvironment (TME) is defined as the non-tumoral part of tumors. It is composed of different cell populations and structures (such as tumor-associated vasculature, immune-inflammatory cells, fibroblasts…) (Hanahan and Coussens, 2012). TME could either promote or antagonize tumor growth and has a great potential as target for novel therapeutic strategies. Along with several methods (i.e. molecular assays), morphological techniques allow to evaluate the components of TME in the setting of their action. The aim of this work was to set up and define valuable morphological approaches useful in the investigation of the TME.
Materials and methods. Histological and immunohistochemical techniques, along with digital image analysis, were tested on experimental mouse models (both xenograft and genetically engineered mice) of four different human tumors (ovarian cancer, pancreatic ductal adenocarcinoma (PDAC), colon adenocarcinoma, thyroid carcinoma).
Results. Concerning the vascular compartment, CD31 immunostaining and double-immunofluorescence with CD31 and a-SMA (pericytes marker) allowed to respectively quantify vessels and evaluate their maturation degree. Immunohistochemical detection of previously administrated Pimonidazole, revealed variable extended areas of hypoxia within tumoral masses in a consistent pattern between frozen and formalin-fixed paraffin-embedded samples.
Concerning the stromal component, anti-human MHC I and specie-specific markers for Vimentin demonstrated the host-derivation of stroma in xenotumors, while Sirius Red histochemical staining allowed the quantification of desmoplasia in models of PDAC.
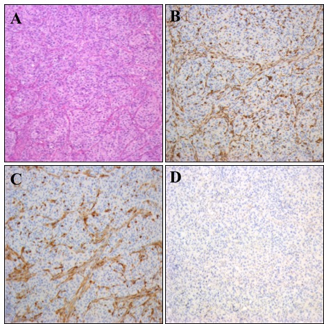
Concerning immune-inflammatory cells, an immunohistochemical panel with CD3 (T lymphocytes), B220 (B lymphocytes), MPO (neutrophils) and Iba-1 (macrophages), showed high reliability in characterizing the tumoral infiltrate. Moreover, the application of markers specific for different macrophage subsets confirmed the higher prevalence of M2 (Arginase I positive) on M1 (iNOS positive) macrophages. YM1 demonstrated a low performance in detecting the M2 population (Fig. 1).
Discussion and conclusions. Due to the microenvironmental heterogeneity which influence tumor development and biological behavior, a sole quantification is unreliable for characterizing the TME. Considering that, morphological techniques proved to be a valuable approach, allowing the evaluation of the spatial distribution and mutual interaction between the different elements. Additional studies are needed for further investigate the biological significance of spatial distribution of the components of the TME.References
Hanahan, D. and Coussens, L. M., 2012. Accessories to the crime: functions of cells recruited to the tumor microenvironment. Cancer Cell. 21, 309-322
This work is licensed under a CC BY-SA 4.0 international
